Logo
  • Call Us
    00966555412356
    • English
    • العربية
  • الصفحة الرئيسية
  • منتجاتنا
    • تحاليل
    • IGG أيميوبرو : تحليل حساسية الغذاء
    • تحليل الأرتيكاريا
    • الصحة و السلامة
    • بيني
    • ثيراباند للتمارين الرياضية
    • مستلزمات طبية و معدات مستشفيات
    • ZSR جهاز الختان الآمن
    • النسيج اللاصق )تيشو إيد)
    • نظام نداء الممرضات
    • نظام المعلومات للمشفى
    • الصيدلية الآلية
  • أسئلة متكررة
  • اتصل بنا

الصفحة الرئيسية | وظيفة الأنف الحيوية

وظيفة الأنف الحيوية

يعتبر الأنف العضو الأكثر سلامة في عملية التنفس ويجب المحافظة على صحته والتأكد من أدائه بشكل سليم وخاصة لدى الأطفال، الفئة الأكثر عُرضة لتكوين الإفرازات.

فالأنف يقوم على تدفئة وتصفية الهواء الداخل للرئتين، وقد يلجأ الأطفال إلى التنفس من أفواههم في حالة وجود عائق ما، مما قد يتسبب في كثير من المشاكل أهمها:

إرتفاع نسبة الإصابة بأمراض الجهاز التنفسي العلوي: 1.

ذلك لمرور الهواء المتنفس البارد والغير مرشح إلى الرئتين.

مع العلم أن جهاز الأطفال المناعي غير مكتمل مما يؤدي إلى إنتشار البكتيريا بشكل سريع.

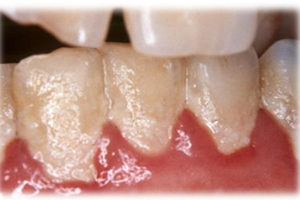
قلة أو جفاف الفم من اللعاب مما يتسبب في 2. :

يؤثر على عملية تذوق وابتلاع الطعام.

تقليل فاعلية اللعاب في تنظيف الأسنان وزيادة سرعة نمو الجير (Plaque).

عدم معادلة الأحماض؛ مما يُلحق الضرر بطبقة مينا الأسنان (Teeth Enamel).

زيادة تسوس الأسنان (Tooth decay) وأمراض اللثة المتخلفة.

Quick Menu

  • وظيفة الأنف الحيوية
  • أسباب إنسداد الأنف
  • أهمية إزالة الإفرازات الأنفية
  • لماذا يحبذ استخدام جهاز "بيني" "بيني"؟

USEFUL LINKS

  • الصيدلية الآلية
  • IGG أيميوبرو : تحليل حساسية الغذاء
  • ZSR جهاز الختان الآمن
  • (النسيج اللاصق) تيشو إيد
  • تحليل الأرتيكاريا

USEFUL LINKS

  • النسيج اللاصق ) تيشو إيد)
  • نظام نداء الممرضات
  • ثيراباند للتمراين الرياضية
  • نظام المعلومات للمشفى

اتصل بنا

  • ADDRESS : ADVANCED BUSINESS CENTRE
  • OFFICE : 207,8003 Khalid Ibn Al Walid,
  • Ash Sharafiyah, Jeddah - 22234
  • EMAIL : info@aldawleiah.com
  • PHONE : +966-555-412356

OUR LOCATION

© Copyright Aldawleiah 2016 | Design by: Himalayan IT Solutions
FOLLOW US ON :